Created by

iriodia
-
Biología
-
Organización del cuerpo humano
-
Age 14-16
-
level: 3º ESO
-
Spanish
Author's Instructions
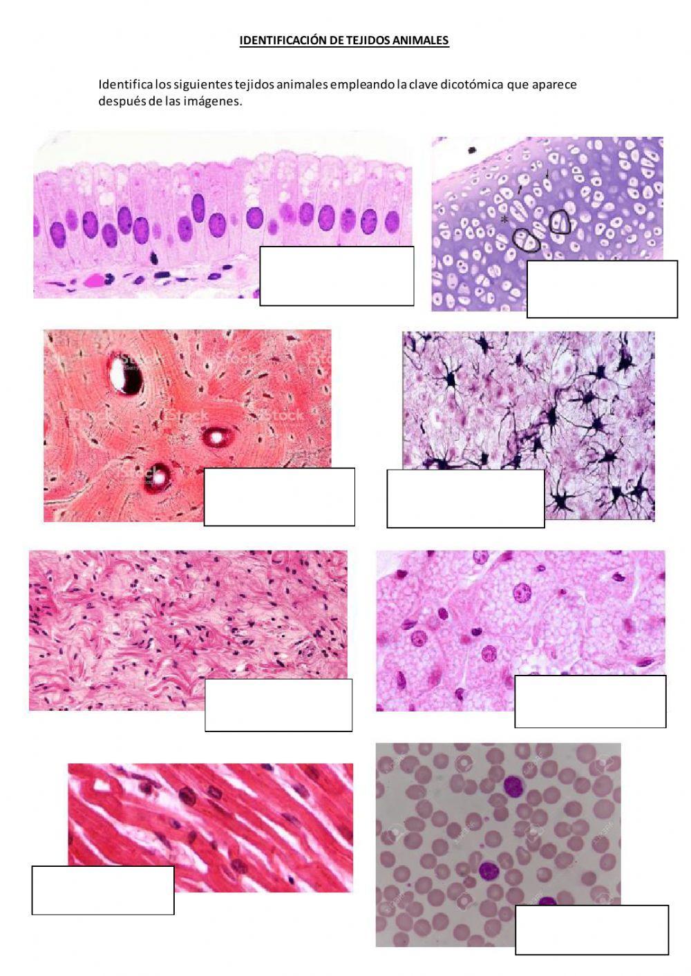
Identifica los tejidos animales de las imágenes con ayuda de la clave dicotómica adjunta
Created by

iriodia
-
Biología
-
Organización del cuerpo humano
-
Age 14-16
-
level: 3º ESO
-
Spanish
Author's Instructions
Identifica los tejidos animales de las imágenes con ayuda de la clave dicotómica adjunta
📚 New Feature: Share worksheets & get automatic grading via Google Classroom 🎓