-
Патоморфологія
-
Повнокрів'я
-
Age 16+
-
level: 2
-
Ukrainian
Author's Instructions
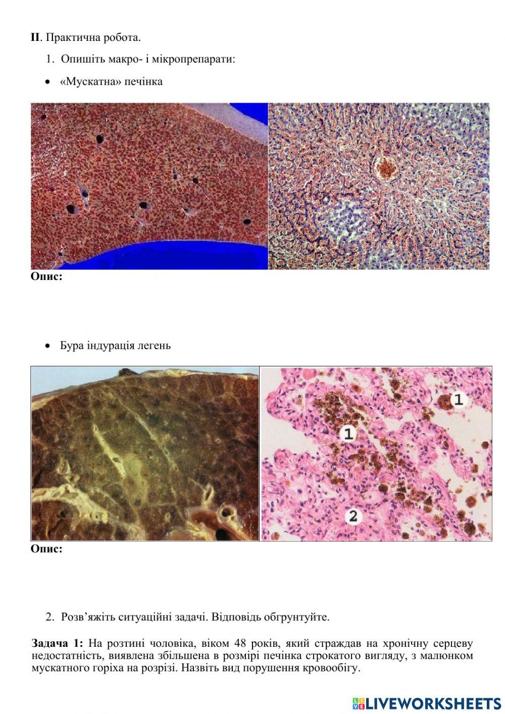
Опишіть макро- та мікропрепарати
-
Патоморфологія
-
Повнокрів'я
-
Age 16+
-
level: 2
-
Ukrainian
Author's Instructions
Опишіть макро- та мікропрепарати
📚 New Feature: Share worksheets & get automatic grading via Google Classroom 🎓
